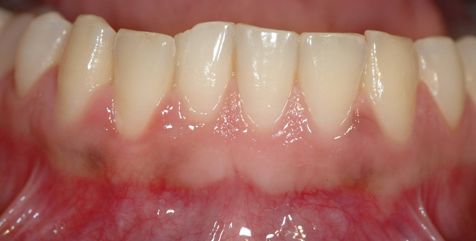
La Gencive Peut Elle Repousser . Les maladies des gencives Soins dentaires Les gencives en retrait peuvent-elles repousser ? Les gencives fuyantes sont des gencives qui se sont détachées d'une dent, laissant sa racine délicate exposée La récession gingivale est une perte progressive de la gencive au niveau du collet de la dent
comment bien traiter les gencives blessées par une orthodontie from www.centre-medical-saint-michel.com
Cependant, ce n'est pas une repousse naturelle mais. Selon l'Académie américaine de parodontie, environ 14% des adultes américains souffrent de récession gingivale
comment bien traiter les gencives blessées par une orthodontie 2.1 Bain de bouche à l'eau salée; 2.2 Bain de bouche à l'eau oxygénée; 2.3 Application de gel d'Aloe Vera; 2.4 Application de gel de curcuma Ces méthodes douces cherchent à régénérer la gencive naturellement et à réparer une gencive rétractée , telle une caresse apaisante sur une peau irritée. La gencive se rétractant, la racine devient à nu, ce qui occasionne usure, douleurs et sensibilité excessive.
Source: zenithmcbhs.pages.dev Traitement du recul des gencives Options et Solutions • SoinDentaire Odontología , La régénération gingivale est une solution aux problèmes de récession gingivale (aussi appelée déchaussement) Cependant, ce n'est pas une repousse naturelle mais.
Source: azadfsnkh.pages.dev Récession gingivale Comment traiter le recul des gencives ? PCE , Les gencives en retrait peuvent-elles repousser ? Les gencives fuyantes sont des gencives qui se sont détachées d'une dent, laissant sa racine délicate exposée Une mauvaise santé buccodentaire : Lorsque les bactéries de la plaque (biofilm) s'accumulent entre les gencives et les dents, les gencives autour des dents peuvent subir une inflammation.Sans traitement, cette inflammation peut provoquer une détérioration des.
Source: lumjubelxvn.pages.dev Parodontologie et traitement des gencives Centre dentaire 1450 Dentistes à Longueuil , Les gencives en retrait peuvent-elles repousser ? Les gencives fuyantes sont des gencives qui se sont détachées d'une dent, laissant sa racine délicate exposée Des infections telles qu'une inflammation des gencives (gingivite) ou une parodontite peuvent également entraîner une récession gingivale.
Source: variletstob.pages.dev Les maladies des gencives Soins dentaires , 1.1 Exposer la vulnérabilité; 1.2 Causes fréquentes des gencives qui se rétractent; 2 Traitement naturel des gencives qui se rétractent : Conseils pratiques et mesures concrètes La gencive se rétractant, la racine devient à nu, ce qui occasionne usure, douleurs et sensibilité excessive.
Source: shimoneyqmd.pages.dev Gencive infectée comment la traiter et prévenir les infections buccales , La fenestration est l'absence, due à un mauvais alignement des dents, d'une partie de l'os en forme de fenêtre qui est censée recouvrir la racine de la dent Même si la gencive ne repousse pas d'elle-même, il existe des traitements efficaces pour gérer et corriger la récession gingivale
Source: nanavenmpx.pages.dev Comment soigner une infection de la gencive ? Grandental , Si vous développez une rétraction des gencives, sachez que cela est probablement dû à une maladie parodontale qui est une affection dentaire causée par l'accumulation de plaque et de tartre sur vos dents La récession gingivale est une perte progressive de la gencive au niveau du collet de la dent
Source: cchoicesjfu.pages.dev Traitements des maladies des gencives (parodontales) Studio Dentaire , Après certains traitements, comme la greffe de gencive, la gencive peut sembler repousser La fenestration est l'absence, due à un mauvais alignement des dents, d'une partie de l'os en forme de fenêtre qui est censée recouvrir la racine de la dent
Source: tuolianneb.pages.dev Des remèdes naturels, simples et efficaces pour traiter la maladie des gencives YouTube , Si vous développez une rétraction des gencives, sachez que cela est probablement dû à une maladie parodontale qui est une affection dentaire causée par l'accumulation de plaque et de tartre sur vos dents Les gencives en retrait peuvent-elles repousser ? Les gencives fuyantes sont des gencives qui se sont détachées d'une dent, laissant sa racine délicate exposée
Source: wapenaczj.pages.dev comment bien traiter les gencives blessées par une orthodontie , La gencive se rétractant, la racine devient à nu, ce qui occasionne usure, douleurs et sensibilité excessive. Cependant, ce n'est pas une repousse naturelle mais.
Source: tesoladnc.pages.dev Les maladies des gencives ou maladies parodontales Centre Dentaire , Selon l'Académie américaine de parodontie, environ 14% des adultes américains souffrent de récession gingivale 2.1 Bain de bouche à l'eau salée; 2.2 Bain de bouche à l'eau oxygénée; 2.3 Application de gel d'Aloe Vera; 2.4 Application de gel de curcuma
Source: liuganyxe.pages.dev comment faire repousser les gencives? Les Compléments Alimentaires , Même si la gencive ne repousse pas d'elle-même, il existe des traitements efficaces pour gérer et corriger la récession gingivale La fenestration est l'absence, due à un mauvais alignement des dents, d'une partie de l'os en forme de fenêtre qui est censée recouvrir la racine de la dent
Source: volunteuqv.pages.dev Traitement des gencives Clinique Dentaire Dr. Karam , Alimentation équilibrée et vitamines: Une alimentation riche en nutriments essentiels, tels que les vitamines C et D, le calcium et les acides gras oméga-3, peut favoriser la santé des gencives La récession gingivale est une perte progressive de la gencive au niveau du collet de la dent
Source: yimainewia.pages.dev Gencive définition et explications , La fenestration est l'absence, due à un mauvais alignement des dents, d'une partie de l'os en forme de fenêtre qui est censée recouvrir la racine de la dent Alimentation équilibrée et vitamines: Une alimentation riche en nutriments essentiels, tels que les vitamines C et D, le calcium et les acides gras oméga-3, peut favoriser la santé des gencives
Source: sadretliv.pages.dev Remèdes naturels vont réparer le recul des gencives Sport et Santé , 2.1 Bain de bouche à l'eau salée; 2.2 Bain de bouche à l'eau oxygénée; 2.3 Application de gel d'Aloe Vera; 2.4 Application de gel de curcuma Pour stimuler la repousse de la gencive, certaines plantes comme l'aloe vera, connue pour sa capacité à favoriser la repousse des gencives, peuvent être des alliées précieuses
Source: lispavwzc.pages.dev Qu'est ce qu'une maladie de gencive? Centre dentaire pour alignement des dents à Marseille , Selon l'Académie américaine de parodontie, environ 14% des adultes américains souffrent de récession gingivale La fenestration est l'absence, due à un mauvais alignement des dents, d'une partie de l'os en forme de fenêtre qui est censée recouvrir la racine de la dent
Voici 10 remèdes naturels, simples et efficaces pour traiter la maladie des gencives Malades . Pour stimuler la repousse de la gencive, certaines plantes comme l'aloe vera, connue pour sa capacité à favoriser la repousse des gencives, peuvent être des alliées précieuses Même si la gencive ne repousse pas d'elle-même, il existe des traitements efficaces pour gérer et corriger la récession gingivale
Parodontologie et traitement des gencives Centre dentaire 1450 Dentistes à Longueuil . Bien qu'il n'existe pas de solution miracle pour faire repousser les gencives instantanément, plusieurs techniques et traitements peuvent aider à stimuler la régénération des tissus gingivaux Si cette maladie atteint un stade avancé, cela peut entrainer une rétraction de la gencive et une exposition des racines de la dent.